Farma Tissues
What Tissues Are You Working With?
Farma Tissues
The Mouse-on-Farma and Rabbit-on-Farma animal IHC detection polymers bring high staining sensitivity and specificity to bovine, equine, porcine and ovine tissues. Combine together for universal and simultaneous double stains, enabling multiple antibodies in unique colors on a single slide. This can be completed in approximately the same time as a single antibody stain.
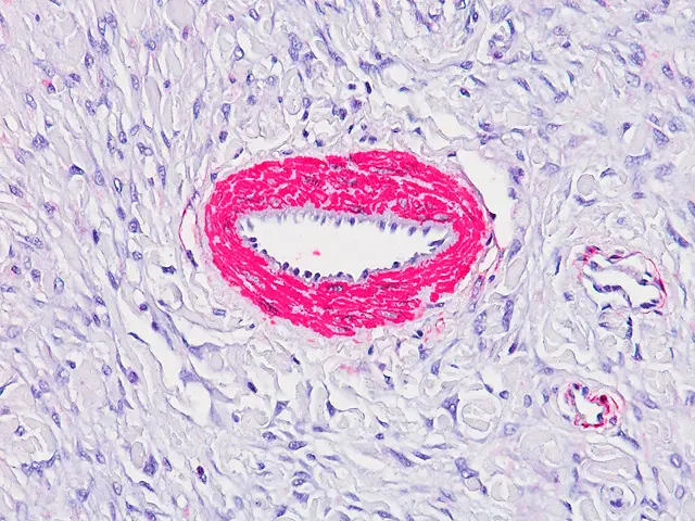
Muscle Specific Antigen on Equine Artery
FARMA Detection Ordering Information
Product
| Cat | QTY | ||
|---|---|---|---|---|
|
|
BRR4002 |
|
||
|
|
BRR4009 |
|


