HIER Buffer
These buffers unmask epitopes that have been cross-linked by formalin fixation. These HIER solutions are specially formulated for superior pH stability at high temperatures. All Decloaker solutions incorporate Assure™ color-coded pH indicator technology, this assures by visual inspection that the solution is at the correct dilution and pH. Products can be stored at room temperature, with the exception of EDTA. All HIER buffers are sodium azide and thimerosal free. These products are specially formulated for superior pH stability at high temperature, and will help prevent the loss of pH-sensitive antigens. The retrieval solutions also block endogenous peroxidase and reduce nonspecific background, except Antigen Decloaker, Nuclear Decloaker and EDTA Decloaker.
- Assure™ pH Color Indicator
- Superior Staining
- Non-hazardous Solutions
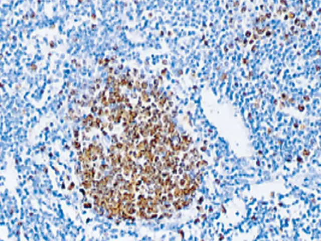
Ki-67 stain using Biocare’s Diva Decloaker buffer for HIER
Diva Decloaker – Preferred HIER for Human Tissue
Eliminates the need for multiple buffers including citrate, EDTA or high pH Tris. Antibody titers are doubled and tripled when compared to citrate buffer. Diva Decloaker is non-toxic, non-flammable and odorless, pH 6.2.
Rodent Decloaker – Preferred HIER for Mouse and Rat Tissue
A Novel Heat-Induced Epitope Retrieval (HIER) Solution for Rodent Tissues
Used for the unmasking of epitopes cross-linked by formalin fixation and blocking endogenous mouse and rat IgG. It has been specially formulated for use on mouse and rat tissues with emphasis on rat brain. Rodent Decloaker has been formulated to work with Biocare’s Promark series of mouse, rat, goat and rabbit polymer detection kits. It is designed for research use only, and not intended for therapeutic and diagnostic purposes.
Reveal Decloaker
Reveal is a specially formulated heat-retrieval solution. It is used in conjunction with Biocare’s Decloaking Chamber Pro. Reveal is non-toxic, non-flammable and odorless. Antibody titers are increased compared to citrate buffer, pH 6.0, and background staining is reduced significantly. Reveal also blocks endogenous peroxidase and mercury crystals.
Borg Decloaker
Borg Decloaker is a Tris-Based formulation, pH 9.5, and is non-toxic, non-flammable and odorless. Tissues can be deparaffinized and then slides can be placed into the Borg Decloaker used in conjunction with Biocare’s Decloaking Chamber or other heating methods. In most cases, antibody titers will increase compared to other heat-retrieval buffers.
EDTA Decloaker
An EDTA buffer formulation with a pH range of 8.5 (after dilution), with preservative. This product is specially formulated for superior pH stability at high temperature, and will help prevent the loss of pH-sensitive antigens.
Antigen Decloaker
A specially formulated citrate buffer, with preservative, designed for superior pH stability at high-temperature incubations. The pH 6.0 formulation helps prevent the loss of pH-sensitive antigens.
Nuclear Decloaker
This is a Tris buffer formulation, pH 9.5 with preservative. Specially formulated for superior pH stability at high temperature, this product will help prevent the loss of pH-sensitive antigens.
Antigen Retrieval Solutions Reference Chart
| Product Name | Intended Purpose | Composition | pH | Formats | Usage Instructions |
|---|---|---|---|---|---|
| Diva Decloaker | Heat retrieval only | (Proprietary) | 6.2 | RTU / 10,20X | Concentrate is diluted in DI water; non-flammable and non-toxic; no deparaffinization |
| Rodent Decloaker | Heat retrieval only | (Proprietary) | 6.0 | 10X | Diluted in DI water; non-flammable and non-toxic; no deparaffinization |
| Reveal | Heat retrieval only | Citrate-based | 6.0 | RTU / 10X | Concentrate is diluted in DI water; non-flammable and non-toxic; capable of deparaffinizing, but if used for this purpose, must be used in conjunction with Hot Rinse |
| Borg Decloaker | Heat retrieval only | Tris-based | 9.5 | RTU | Used after deparaffinization; non-flammable and non-toxic; capable of deparaffinizing, but if used for this purpose, must be used in conjunction with Hot Rinse |
| Universal Decloaker | Heat retrieval only | (Proprietary) | 6.0 | 10X | Diluted in DI water; non-flammable and non-toxic; no deparaffinization |
| Antigen Decloaker | Heat retrieval only | Citrate-based | 6.0 | 10X | Concentrate is diluted in DI water; non-flammable and non-toxic; no deparaffinization |
| EDTA Decloaker | Heat retrieval only | EDTA-based | 8.5 | 5x | Diluted in DI water; non-flammable and non-toxic; no deparaffinization |
| Nuclear Decloaker | Heat retrieval only | Tris-based | 9.5 | 10X | Concentrate is diluted in DI water; non-flammable and non-toxic; no deparaffinization |
Antigen Retrieval Ordering Information
Product
| Cat | QTY | ||
|---|---|---|---|---|
|
|
CB910M |
|
||
|
|
ADP1002M |
|
||
|
|
BD1000 |
|
||
|
|
DV2004 |
|
||
|
|
DV2005 L2J |
|
||
|
|
DV2004 MM, G1 |
|
||
|
|
CB917 |
|
||
|
|
HTR100 |
|
||
|
|
CB911M |
|
||
|
|
pH615 |
|
||
|
|
ph616 |
|
||
|
|
RV1000M |
|
||
|
|
RV1000 |
|
||
|
|
RD913 |
|
||
|
|
SBT-G1 |
|
||
|
|
613 |
|


