Antibody Diluents
The Revival Series of Super Antibody Diluents: DaVinci Green, Monet Blue, Renoir Red and Van Gogh Yellow are optimized formulations for improving antibody titers and are extremely stable for long-term storage. The color-coded Revival diluents were compared to the majority of PBS-based and Tris-based diluents available. In the majority of cases, titers have been improved 2 to 4 times with either DaVinci Green, Monet Blue, Renoir Red or Van Gogh Yellow diluents. Greater dilution of primary antibodies provides higher specificity, thus potentially eliminating false positives.
- Increase titers
- Reduce background staining
- Protease and IgG-free
- Ready-to-use
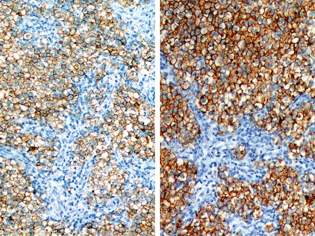
CD117, 1:800 – standard PBS diluent (L) vs. 1:800 – Biocare Renoir Red (R)
Da Vinci Green
A pH 7.3 diluent with protein carrier and preservative. This is an excellent universal antibody diluent.
Renoir Red
Formulated at pH 6.0, Renoir Red is specially designed to work with Tris-based antibodies, rinsing buffers and/or detection systems that use alkaline phosphatase.
Van Gogh Yellow
Van Gogh Diluent is specifically formulated to enhance certain types of antibodies and may increase titers up to 2-4 times.
Monet Blue
This is a pH 7.9 diluent which also uses Assure Technology with pH indicator. As in the previous diluent, a change in pH results in a color change. A change in diluent color from pale blue to green or yellow indicates that optimal staining may be compromised.
VP Monet Blue
This diluent has been specially formulated to work with Ventana® systems.
(Ventana is a trademark of Ventana Medical Systems, Inc.)
Revival Series Sampler
Da Vinci Green, Van Gogh Yellow, Monet Blue and Renoir Red
Revival Series Sampler was designed as an antibody diluent kit to test for optimal staining of primary antibodies. These diluents are specifically formulated to enhance primary antibody staining and may increase titers up to 2 to 4 times.The color-coded Revival Series – Da Vinci Green, Monet Blue ,Van Gogh Yellow and Renoir Red diluents were compared to the majority of PBS-based and Tris-based diluents that are available on the market. In the vast majority of cases, either Da Vinci Green, Monet Blue, Van Gogh Yellow or Renoir Red diluents demonstrated improved staining. These diluents can also be used on an automated staining system.
Renaissance Background Reducing
This antibody diluent for IHC is specially formulated to reduce the occurrence of nonspecific background with antibodies used in IHC techniques: (Synaptophysin, PLAP, Kappa, and Lambda). We have added potent background-reducing agents to dramatically reduce any unwanted background staining.
Ordering Information
Product
| Cat | QTY | ||
|---|---|---|---|---|
|
|
PD900 |
|
||
|
|
PD901 |
|
||
|
|
PD905 |
|
||
|
|
PD904 |
|
||
|
|
PD912H4 |
|
||
|
|
PD902 |
|
||
![]() |
VPD901L |
|



