MACH 2™
MACH 2 Detection is a one-step / one-solution, biotin-free detection system which combines superior work flow and sensitivity for mouse and rabbit primary antibodies.
MACH 2 detection consists of a single reagent applied after the primary antibody. MACH 2 is ideal for use with prediluted antibodies or concentrates with equal success. MACH 2 may be used for 7-step multiplex stains with certain antibodies.
MACH 2 increases staining specificity compared to conventional dextran backbone polymer. MACH 2 is available in anti-mouse, anti-rabbit, and ‘universal’ (anti-mouse & anti-rabbit) formulations, labeled with either Horseradish Peroxidase (HRP) or Alkaline Phosphatase (AP).
• Increase specificity 3-4 fold in nuclear staining & 2 fold in cytoplasmic/cell surface staining
• Superior to dextran backbone polymers
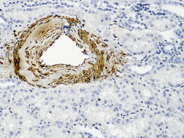
Compare MACH 2 (L) with conventional 3-step avidin-biotin / ABC system (R)
MACH 2 gives a clean and sharp signal
Endogenous biotin background is detected in tissue around the artery
MACH 2 Detection Ordering Information
Product
| Cat | QTY | ||
|---|---|---|---|---|
|
|
MALP521 |
|
||
|
|
MHRP520 |
|
||
|
|
RALP525 |
|
||
|
|
RHRP520 |
|
||
|
|
M2U522 |
|



