Claudins and Cancer: Promising Proteins for Detection and Diagnosis
Claudins and Cancer: Promising Proteins for Detection and Diagnosis
Claudin family proteins are transmembrane proteins that serve as
major cell adhesion molecules of tight junctions. “Tight junctions
restrict the flow of ions and aqueous molecules between cells, and
their permeability is determined by the profile of claudin expression
and arrangement of claudins with other proteins at the paracellular
barrier.”1 In several cancers, this family of proteins is abnormally
regulated, but certain claudins, like Claudin-4, are more frequently
overexpressed in neoplasias.
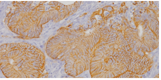
Colon cancer stained with Biocare’s Claudin-4
Structure of Claudins
Extracellular loops represent promising targets for therapy using monoclonal
antibodies or, in the case of Claudin-3 and Claudin-4, the CPE.5
Claudin-4 (Clostridium perfringens enterotoxin (CPE) receptor) is a tight junction protein encoded by the gene CLDN4. Depending on the type
of cancer, expression of Claudin-4 has been associated with either poor prognosis or a more favorable diagnosis. Claudin-4 has been shown
to distinguish adenocarcinoma from malignant mesothelioma with 99% specificity in malignant effusions.2 Overexpression of Claudin-4 was
able to independently predict survival in a breast cancer multivariate analysis as it was associated with poor prognosis, high tumor grade and
Her2 expression and was inversely correlated with estrogen receptor staining.3 In luminal breast cancer, the increase of Claudin-4 protein was
correlated with the increase of tumor grade and Ki-67, and thus demonstrated an overall shorter life survival. 4 On the other hand, the presence
of Claudin-4 in triple negative breast cancer demonstrated a favorable prognosis.4 Claudin-4 has been shown to be among the most highly upregulated genes in ovarian cancer5 and overexpression in prostate cancer may suggest a Claudin-4 targeted therapy as a potential treatment.6
As part of the formation and maintenance of epithelial tight junctions, Claudin-4 participates in creating a barrier that can repel pathogenic
invaders. A recent study has suggested that COVID-19 can promote the secretion of “cytokines that have been associated with increases in
barrier dysfunction and mislocalization of tight junction proteins, such as… Claudin-4.”7 Research continues to be performed to find treatments
that can exhibit a “sealing effect” on respiratory tight junctions and decrease severity of COVID infection.
Interested in testing Claudin-4 in your lab? We’re here to assist you. Please contact Biocare anytime at 800-799-9499 or click the link here:
https://biocare.net/product/claudin-4/
1. https://www.rndsystems.com/target/claudin-4 2. Jo VY, Cibas ES, Pinkus GS. Claudin-4 immunohistochemistry is highly effective in distinguishing adenocarcinoma from malignant mesothelioma in effusion cytology. Cancer
Cytopathol. 2014 Apr;122(4):299-306. 3. Lanigan F, et al. Increased claudin-4 expression is associated with poor prognosis and high tumour grade in breast cancer. Int J Cancer. 2009 May 1;124(9):2088-97. 4. Kolokytha P, et
al. Claudin-3 and claudin-4: distinct prognostic significance in triple-negative and luminal breast cancer. Appl Immunohistochem Mol Morphol. 2014;22(2):125-31. 5. Morin, P. Claudin Proteins in Human Cancer: Promising New
Targets for Diagnosis and Therapy. Cancer Res 2005;65:9603-9606. 6. Maeda T, et al. Claudin-4-targeted therapy using Clostridium perfringens enterotoxin for prostate cancer. Prostate. 2012 Mar;72(4):351-60. 7. Block, J. High
risk COVID-19: intervening at multiple points in the COVID-19 disease process via prophylactic treatment with azithromycin or bee derived products. 2 April 2020. https://www.preprints.org/manuscript/202004.0013/v1/download.



