The Breakdown: Enzymes and Epitope Retrieval
The Breakdown: Enzymes and Epitope Retrieval
Tissue fixation can lead to protein cross-linking, which can block antigenic sites and limit antigen-antibody binding. To break these cross links and expose the antigen’s epitope, antigen retrieval will be necessary. The two most common methods to recover masked epitopes are heat induced epitope retrieval (HIER) and proteolytic antigen retrieval (PIER).
PIER relies on enzymes, such as trypsin and pepsin, to catalyze proteolysis, breaking down proteins into smaller peptide fractions and amino acids, thus unmasking antigens and restoring antigenicity.
Different enzymes cleave at different amino acids. Therefore, to identify the ideal retrieval method for a specific antigen, it is best practice to test one or two enzymes, along with HIER. Certain antigens, such as cytokeratins and immunoglobulins1, may even benefit from a combination of enzyme and heat retrieval.
PIER is particularly useful for proteins that are difficult to retrieve or when HIER produces less than satisfactory results. Enzymes may be used at room temperature or 37°C and, while incubation time may vary, 10-15 minutes is typical. Excess retrieval should be avoided as it can destroy tissue morphology and even some epitopes. Since PIER tends to be less reproducible than HIER, optimization to determine the enzymes optimal concentration and incubation time and temperature is of utmost importance.
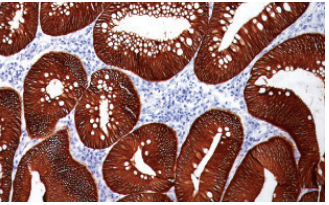
Pepsin digestion was utilized with MOC-31 antibody on colon cancer. Amyloid
P, Cytokeratin 17, and Ber-EP4 are a few other of Biocare’s antibodies that
recommend pepsin digestion.
Products for Enzymatic Antigen Retrieval
To learn more about Biocare Medical’s enzymes and other antigen retrieval reagents and instrumentation, please call 800-799-9499 or visit
the following website links: https://biocare.net/products/ancillaries/enzymes/; https://biocare.net/products/ancillaries/antigen-retrieval-solutions/;
https://biocare.net/products/instrumentation/decloaking-chamber-nxgen/
1. Immunohistochemical Staining Methods, Sixth ed. Dako Denmark A/S, An Agilent Technologies Company, 2013.



