Biocare Medical Offers a New Mouse Monoclonal SOX10 Antibody – a Highly Sensitive and Specific Marker for Malignant Melanoma (Patent Pending).
Concord, CA, February 28, 2014 – Biocare Medical is proud to announce the release of a new mouse monoclonal SOX10 Antibody. The SOX10 protein is widely expressed in normal human tissues including melanocytes and breast tissue. SOX10 has been shown to be expressed 97-100% of desmoplastic and spindle cell melanomas and was also shown to be expressed in 100% of nevi. The majority of oligodendrogliomas, but also a large percentage of astrocytomas and poorly differentiated glioblastomas have also been shown to express SOX10.
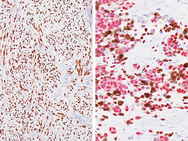
(Left) Spindle cell melanoma (DAB); (Right) Pigmented melanoma (Fast red)
“We had a lot of requests for SOX10, as the existing SOX10 antibodies were either RUO or were of poor quality. We carefully designed a sequence that was specific for only SOX10. We also worked closely together with several outside pathologists to ensure the quality and accuracy that is needed for the diagnosis of melanoma and its subtypes,” states Dr. David Tacha, Chief Scientific Officer at Biocare Medical.
For more information, go to https://biocare.net
About Biocare Medical
Biocare Medical, LLC is an innovator in developing and supplying world class automated immunohistochemistry (IHC) instrumentation and the full range of reagents for IHC and ISH lab testing. Biocare Medical is the market leader in simultaneous Multiplex IHC and antibody development, which aids in the assessment of clinical cases and accelerates turnaround time. The company’s customers include clinical histology laboratories, pharmaceutical companies, CROs, and biotechnology companies as well as academic, government, military, and other non-profit laboratories. Biocare Medical offers an expanding portfolio of integrated products to address the rapidly growing cancer and infectious disease diagnostic and research markets using tissue immunostaining and in situ hybridization methods. Biocare Medical is headquartered and has manufacturing facilities in Concord, California, and has a global distribution network. For more information, please visit www.biocare.net.


